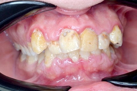
Пародонтит приводит к потере зубов

Пародонтит приводит к потере зубов Пародонтит – популярное стоматологическое заболевание, которым поражено около 90% взрослого населения планеты.



Пародонтит приводит к потере зубов

Пародонтит – популярное стоматологическое заболевание, которым поражено около 90% взрослого населения планеты. Так же, как и кариес, он приводит к потере зубов.

Наши зубы окружены так называемым пародонтом. Он состоит из десны, кровеносных сосудов, соединительной и костной ткани. Пародонт обеспечивает питание твердых тканей зуба и альвеолярного отростка (части челюсти, в которой расположены зубные лунки). И он же плотно удерживает зуб на его месте.

Пародонтит – это инфекционное воспаление пародонта. Чаще всего ему предшествует гингивит, при котором воспаляется поверхность десны. Появляются кровоточивость, дискомфортные ощущения. При пародонтите воспаление проникает глубже, симптомы могут усиливаться.

Если заболевание не лечить, оно переходит в пародонтоз, при котором разрушается костная ткань, и начинают выпадать зубы.

Последние новости

Что делать, если частотный преобразователь замкнул и загорелся?

Пошаговое руководство по действиям в экстренной ситуации: как минимизировать ущерб, не поддаться панике и предотвратить повторение аварии.

Всегда ли в проблемах с сердцем виноваты

Каковы шансы сохранить здоровое сердце, если в роду были сердечники Как оценить семейные риски сердечных заболеваний, объяснила кардиолог.

Мошенники разводят россиян с помощью

Объявления о доставке таблеток для похудения оказались ловушкой  Россиян предупредили о мошеннических сайтах, предлагающих препараты для похудения, вызвавшие ажиотаж в России.

Когда скидки превращаются в ловушку: как маркетологи учат нас тратить

Почему “-50% только сегодня” не всегда значит выгоду, как скидки играют на эмоциях и почему даже рациональные люди становятся жертвами маркетинговых трюков.

Здесь вы можете узнать о лучших предложениях и выгодных условиях, чтобы купить квартиру в Дмитрове

Комментарии (0)

Добавить комментарий

Ваш email не публикуется. Обязательные поля отмечены *